Lab 14 & 15: Appendicular Skeleton: ANSWERS


Fig 14.1

1. Acromion
2. Head of Humerus
3. Corocoid process
4. Clavicle
5. Sternum
6. Cartilage (costal)
7. Rib (true)
8. Humerus
9. Scapula

Fig 14.2

1. Acromion
2. Corocoid process
3. Spine
4. Glenoid fossa (cavity)
5. Corocoid process
6. Glenoid fossa (cavity)
7. Acromion



Part A

1. Scapulae
2. Sternum
3. Scapula (Acromion)
4. Spine
5. Acromion
6. Corocoid process
7. Head

Fig 14.3
1. Head
2. Greater Tubercle
3. Lesser Tubercle
4. Olecranon fossa
5. Lateral Epicondyle
6. SKIP
7. Deltoid Tuberosity
8. Medial Epicondyle

Fig 14.4
1. Olecranon
2. Head of Radius
3. Radial Tuberosity
4. Styloid process
5. Styloid process

Fig 14.5
1. Distal Phalanges
2. Middle Phalanges
3. Proximal Phalanges
4 Phalanges
5. Metacarpals
6. Carpals

Part B

1. A (SKIP)
2. B (SKIP)
3. B
4. B
5. B (SKIP)
6. A (SKIP)
7. B (SKIP)
8. F (SKIP)
9. E
10. A (SKIP)
11. A (SKIP)
12. F (SKIP)
13. E (SKIP)

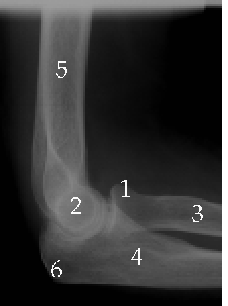
X-Rays


1. Head of Radius
2. Medial Epicondyle
3. Radius
4. Ulna
5. Humerus
6. Olecranon

7. Ulna
8. Radius
9. Carpals
10. Metacarpals
11. Proximal Phalanges
12. Middle Phalanges
13. Distal Phalanges
14. Phalanges

15. Head of Humerus
16. Glenoid Cavity
17. Scapula
18. Clavicle
19 Humerus


Fig 15.1

1. Sacrum
2. Iliac crest
3. Ilium
4. Pubis
5. Acetabulum
6. Ischium
7. Pubic Symphysis
8. Sacral Crest
9. Sacral Foramina
10. Sacrum
11. Coccyx

Part A

1. Coxal bones
2. Acetabulum
3. Ilium
4. Pubic symphysis
5. Iliac crest
6. Tuberosity (SKIP)
7. Pubic arch
9. Sacro-Iliac joint

Fig 15.2
1. Head of Femur
2. Neck (SKIP)
3. Greater Trochanter
4. Lesser Trochanter
5. Head (Fovea Capitis)
6. Medial Condyle
7. Lateral Condyle


Fig 15.3
1. Tibial Plateau
2. Head of Fibula
3. Tibial Tuberosity
4. Lateral Malleolus
5. Medial Malleolus
6. Tibia
7. Fibula

Fig 15.4
1. Phalanges
2. Metatarsals
3. Tarsals
4. Distal Phalanges
5. Middle Phalanges
6. Proximal Phalanges
7. Calcaneus

Part B


1. E
2. A
3. G
4. A
5. F
6. A
7. G
8. F
9. B
10. B

X-Rays



1. Iliac Crest
2. Head of Femur/Acetabulum
3. Pubic Symphysis
4. Sacrum
5. Greater Trochanter
6. Ischium

7. Femur
8. Patella
9. Tibia
10. Head of Fibula
11. Fibula
12. Femur

13. Calcaneus
14. Tarsals
15. Metatarsal
16. Proximal Phalanges
17. Distal Phalanges


Practice Practical
1. Femur
A. Head
B. Greater Trochanter
C. Lesser Trochanter
D. Lateral Condyle
E. Medial Condyle

2. Humerus
F. Head
G. Greater Tubercle
H. Lesser Tubercle
I. Lateral Epicondyle
J. Medial Epicondyle
K. Olecranon Fossa

3. Tibia
l. Tibial Plateau
m. Tibial Tuberosity
n. Medial Malleolus

4. Scapula
O. Glenoid Fossa
P. Corocoid process
Q. Acromion
R. Spine

5. Coxal
S. Iliac Crest
T. Sacro-Iliac Joint
U. Pubic Symphysis
V. Acetabulum

6. Radius
W. Head

7. Fibula
X. Head
Y. Lateral Malleolus

8. Ulna
Z. Olecranon
AA. Styloid process

9. Hand
BB. Carpals
CC. Metacarpals
DD. Phalanges (middle)

10. Foot
EE. Tarsals
FF. Calcaneus
GG. Metatarsals
HH. Phalanges (proximal)

11. Sacrum
II. Sacral Formanina